亲爱的读者,你是否曾在某个瞬间,被一段转场视频惊艳到?那种瞬间切换的场景,仿佛带你穿越时空,感受不同的世界。今天,就让我带你一起...
最近娱乐圈可是热闹非凡呢!咱们都知道,吃瓜群众可是最喜欢看明星们的八卦了。这不,最近有个话题在网络上炒得火热——“吃瓜爆料配音演...
最近娱乐圈可是热闹非凡呢!这不,吃瓜群众们又抓到了一大波新鲜料。今天,咱们就来聊聊那位演技派女神宋轶的神秘视频。听说这个视频可是...
收获之夜,动漫盛宴:一场视觉与心灵的狂欢夜幕低垂,星光点点,在这个收获的季节里,一场特别的盛宴即将拉开帷幕。没错,我要说的是那让...
最近网上可是热闹非凡呢!大荔吃瓜事件再次成为焦点,各种爆料视频层出不穷,让人看得是津津有味。今天,就让我带你一探究竟,看看这场吃...
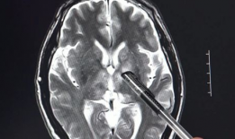
你有没有想过,去医院看病的时候,医生有时候会给你来点“特殊待遇”?比如说,给你做个脑膜刺激征检查。这听起来是不是有点陌生?别急,...
最近网络上可是热闹非凡呢!51今日吃瓜爆料,青春有你这个话题简直成了大家茶余饭后的谈资。今天,就让我带你一起深入挖掘这个话题,看...
你知道吗?在这个信息爆炸的时代,想要找到真正好用的国产精品,那可真是一门学问呢!今天,我就要给你安利一些我亲自试用过的、真心觉得...
亲爱的读者们,你是否曾在某个闲暇的午后,被手机屏幕上跳动的视频吸引,好奇地戳开一看,结果就沉浸在了一个全新的世界?今天,我要和你...
你知道吗?最近在动漫圈里,有一股清新的风潮正在悄然兴起,那就是磷月动漫。这可不是什么小众的玩意儿,而是越来越多人津津乐道的话题。...